In the fields of proteomics, biomedical research, and drug development, the extraction and analysis of proteins from tissues (including organs and muscles) are crucial for elucidating life processes, disease mechanisms, and drug actions. However, compared to cell culture systems, tissues possess more complex and dense structures, containing large amounts of extracellular matrix, lipids, and other components that present numerous challenges for protein extraction. Common obstacles in tissue protein extraction include:
1. Diverse Sample Types: Different tissues such as heart, liver, kidney, and muscle vary significantly in cell composition and density, and their protein distributions and abundances differ greatly, making it difficult for a single extraction method to be suitable for all tissue types.
2. Difficult Lysis: Muscle tissue is rich in myofibrillar structures, and some organs contain connective tissue or fat, which are hard to break down using conventional lysis techniques.
3. Risk of Protein Degradation: Tissues often contain highly active proteases. Without timely inhibition or mild extraction conditions, target proteins are prone to degradation or post-translational modifications.
4. Interference from Non-Protein Components: Tissue samples typically contain lipids, polysaccharides, and other substances that, if not thoroughly removed, may compromise protein purity and interfere with downstream analysis.
5. Cumbersome Procedures and Poor Reproducibility: Traditional tissue protein extraction usually involves slicing, homogenization, repeated centrifugation, and multi-step reagent preparation, increasing the likelihood of operational error and reducing result consistency.
6. High-Throughput Demands: Large-scale screening and omics studies often require the simultaneous processing of numerous tissue samples, which is difficult to achieve efficiently using time-consuming procedures.
To overcome these challenges, researchers urgently need an efficient, streamlined protein extraction solution that preserves both protein activity and structure. Based on years of technical expertise and practical experience, MtoZ Biolabs has developed the tissue (organ, muscle) protein extraction kit can provide convenience and guarantee for scientific researchers in all aspects of tissue protein extraction. The kit uses an optimized lysis system and protease inhibition formula to obtain high-quality protein samples from a wide range of tissues while preserving their native conformation and biological activity. The extracted proteins are compatible with downstream applications such as Western blotting, enzymatic assays, proteomics (LC-MS/MS), and immunological analyses.
Product Overview
The tissue (organ, muscle) protein extraction kit is specifically designed for protein extraction from high-density tissues such as organs and muscles. Its core formulation combines a specialized lysis buffer with a stabilized protease inhibitor system, enabling thorough tissue lysis under mild conditions to maximize the release of target proteins. The formulation also fully accounts for interfering factors such as tissue lipids and connective components, effectively minimizing nonspecific contaminants and ensuring a reliable protein foundation for downstream detection and analysis.
The tissue (organ, muscle) protein extraction kit is compatible with a wide range of tissue types, including liver, kidney, heart, muscle, brain, and lung tissues. It is also well-suited for other complex biological samples rich in connective tissue or lipids. Whether for total protein quantification, enzymatic activity assays, or in-depth studies of protein modifications and interactions, it offers an efficient front-end solution for tissue protein extraction.
Featuring a ready-to-use design allows researchers to follow a simple protocol to obtain high-yield, high-purity total protein from tissue samples in a short amount of time. This reduces the risk of protein degradation and contamination during the extraction process and provides a stable, reliable starting material for subsequent experiments.
Product Notes
1. The lysis buffer provided in the kit is suitable for routine extraction of tissue samples.
2. Fresh protease inhibitor cocktail should be added to the tissue lysis buffer before use.
3. After sample preparation, use the extracted proteins immediately or aliquot and store at -80°C.
4. All components should be fully thawed at room temperature before use. Do not use after its expiration date.
5. If each sample contains 50 mg of tissue, up to 30 samples can be processed.
Product Details
|
Product Details |
Specification |
Storage Conditions |
|
Tissue Lysis Buffer |
20 mL |
-20℃ |
|
Protease Inhibitor Cocktail (100×) |
200 µL |
-20℃ |
|
SDS-PAGE Protein Loading Buffer (5×) |
1 mL |
-20℃ |
|
Coomassie Brilliant Blue Staining Solution |
10 mL |
4℃ |
Protocol
The protocol of the tissue (organ, muscle) protein extraction kit simplifies laboratory operations while fully accounting for the diversity and complexity of tissue samples. The following is a general workflow; specific procedures may be adjusted based on experimental needs:
1. Tissue Preparation
(1) Take an appropriate amount of fresh or frozen tissue sample, remove excess fat or surface impurities, and weigh.
(2) It is recommended to maintain a proper ratio between sample mass and lysis buffer to facilitate complete lysis.
2. Sample Homogenization
(1) Rinse the tissue thoroughly with clean PBS until the solution is free of blood coloration to avoid interference from high-abundance blood proteins.
(2) Place the tissue into an appropriate volume of lysis buffer, and homogenize thoroughly using a manual grinder, tissue disruptor, or glass homogenizer.
(3) If needed, perform the procedure under cold conditions to further reduce protein degradation.
3. Lysis and Protease Inhibition
(1) Incubate under mild conditions for a short period, with shaking or mild sonication to assist lysis and minimize tissue residue.
(2) For tissues with high protease activity, consider extending the lysis time or adding more protease inhibitor.
4. Centrifugation and Supernatant Collection
(1) Centrifuge at an appropriate speed and temperature (typically 4°C) for 10-20 minutes.
(2) Collect the supernatant, which contains the high-quality total tissue protein extract. If a visible precipitate remains, repeat the centrifugation step.
5. Protein Quantification and Downstream Applications
(1) Perform protein quantification using standard methods such as BCA or Bradford to ensure suitable concentration for further experiments.
(2) After adjusting to the desired concentration, the sample can be used for Western blotting, enzymatic activity assays, mass spectrometry analysis, and other experiments.
Figures

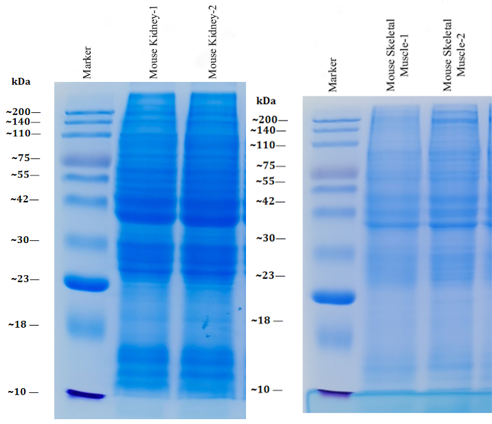
Figure 1. SDS-PAGE Gel Stained with Coomassie Brilliant Blue. Gel Concentration: 12%; Loading Amount: 30-50 µg.
Features and Benefits
MtoZ Biolabs' tissue (organ, muscle) protein extraction kit offers the following outstanding features in practical applications, enabling researchers to efficiently tackle challenges in tissue protein extraction:
1. High Efficiency
The optimized lysis system effectively disrupts dense tissue structures to yield more target proteins.
2. Mild Conditions
The extraction is performed at low temperatures and under stable buffer conditions to preserve protein activity and native conformation to the greatest extent.
3. Safety
The reagents ingredients are safe and environmentally friendly, reducing potential risks to users and the environment.
4. Reproducibility
Stable formulations and standardized procedures reduce inter-batch variability and ensure data consistency.
5. Broad Compatibility
Suitable for extracting proteins from a variety of organs and muscle tissues in animals and model organisms, and compatible with various downstream protein analysis applications.
6. Simplified Operation
The ready-to-use kit design eliminates the need for additional reagents or complex preparation steps, significantly reducing processing time.
7. High-Throughput Potential
Flexible reagent scaling accommodates experiments of different sizes, supporting simultaneous processing of multiple tissue samples to enhance research efficiency.
Applications
With its high efficiency, mild conditions, and simplified operation, the tissue (organ, muscle) protein extraction kit is widely applicable in numerous research and applied fields, including but not limited to:
1. Proteomics Research
Enables high-quality tissue protein extraction as a solid foundation for proteomic analysis, facilitating the identification of proteins related to diseases and physiological processes.
2. Biopharmaceutical Development
Allows for the extraction of tissue proteins and high-sensitivity detection of key signaling proteins and drug target proteins, aiding in the evaluation of drug mechanisms and screening of potential therapeutic candidates.
3. Disease Mechanism Studies
By comparing protein extracts from normal and diseased tissues, researchers can explore protein-level differences involved in disease onset, progression, and outcomes, offering new insights for clinical diagnosis and treatment.
4. Functional Protein Detection
Provides accurate and reliable protein samples for enzyme activity assays, analysis of post-translational modifications (such as phosphorylation and glycosylation), and construction of protein interaction networks.
5. Interdisciplinary Research
Applicable across biology, medicine, environmental science, food science, and other fields to process animal and clinical tissue samples, supporting cross-disciplinary scientific investigations.
FAQs
Q1: Can the Same Extraction Procedure Be Used for Different Tissue Types?
A1: In general, the standard procedure provided with the kit is applicable. However, for tissues with particularly high fibrous or lipid content, it is recommended to appropriately extend the lysis time or use a more thorough homogenization method to ensure efficient protein release.
Q2: How Can Protein Degradation During Downstream Analysis Be Avoided?
A2: It is recommended to perform all procedures under low-temperature conditions and to pre-add an appropriate concentration of protease inhibitors into the lysis buffer. If protease activity remains high, consider shortening the operation time or pre-freezing the sample to reduce enzymatic activity.
Q3: What Should Be Done If the Protein Concentration Is Too Low after Extraction?
A3: You may reduce the volume of lysis buffer or increase the amount of tissue sample. At the same time, ensure that homogenization and lysis are performed thoroughly to minimize protein loss.
Q4: Are Any Specific Reagents or Instruments Required?
A4: The tissue (organ, muscle) protein extraction kit formulation is compatible with standard laboratory equipment (centrifuge, homogenizer, refrigerator, etc.) and does not require any special instruments. For large-scale or automated applications, adjustments can be made according to the specific experimental platform.












