SDS PAGE Gel Analysis Service
SDS PAGE gel analysis is a classical protein separation and analysis technique widely used for molecular weight determination, purity analysis, expression detection, and preparation for downstream analysis. It serves as a fundamental tool for studying protein structure and function. SDS PAGE gel analysis service uses the anionic detergent SDS to denature proteins and impart a uniform negative charge, allowing them to migrate in an electric field based solely on their molecular weight. Coupled with the molecular sieving effect of polyacrylamide gel (PAGE), proteins of different sizes are separated. The separated proteins are visualized through staining and imaging, providing an intuitive display of the composition, distribution, and purity of proteins in the sample. MtoZ Biolabs offers SDS PAGE gel analysis service including 1D SDS-PAGE and 2D SDS-PAGE for protein separation. Additionally, we provide mass spectrometry analysis of separated proteins, delivering reliable support for your research projects.

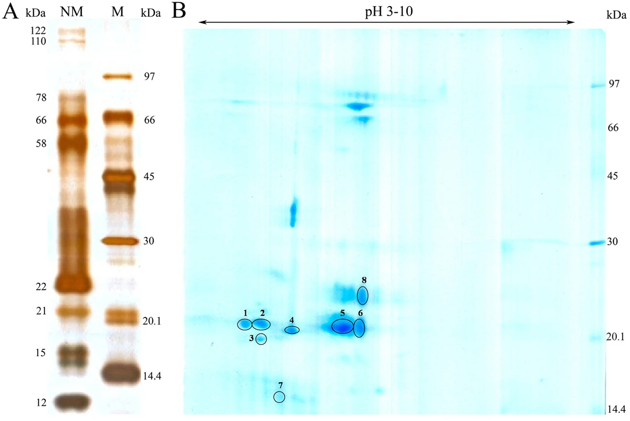
Muthukumar S. et al. Sci Rep. 2018.
Analysis Workflow
Workflow for SDS PAGE gel analysis service:
Sample Preparation
Lyse and denature samples according to the properties of the target proteins, then mix with SDS sample buffer.
Gel Preparation and Electrophoresis
Prepare polyacrylamide gels suitable for target protein separation (typically 10%-15% concentration), and perform electrophoresis.
Staining and Visualization
Use appropriate staining methods to visualize protein bands. Options include Coomassie Brilliant Blue staining, silver staining, or fluorescent staining. For low-abundance protein analysis, fluorescent dyes are recommended to enhance sensitivity.
Result Analysis
Capture gel images and analyze protein bands for molecular weight, purity, and relative abundance.
Sample Submission Suggestions
Sample Types
Both liquid and solid samples are accepted. Proteins stained with coomassie brilliant blue, silver staining, or fluorescent staining are accepted.
Sample Amounts
1D SDS-PAGE generally requires 2–30 µg of protein. 2D SDS-PAGE generally requires 50–1000 µg of protein, depending on the project specifics.
Applications
Protein Purity Assessment
Evaluate the purity of protein samples to ensure the accuracy of downstream experiments.
Molecular Weight Estimation
Estimate the molecular weight of target proteins to verify the correctness of recombinant protein expression.
Protein Qualitative Analysis
Quickly validate protein expression and sample integrity.
Preparation for Downstream Experiments
Provide a high-quality basis for subsequent analyses, such as mass spectrometry and Western blotting.
FAQ
Q. How to Address Blurred or Trailing SDS-PAGE Bands?
Blurred or trailing band is a common issue in SDS PAGE gel analysis. Below are potential causes and solutions:
1. Sample Issues
Excess Salt or Detergents: High salt concentrations or detergents can interfere with electrophoresis, leading to blurry.
Solution: Dialyze or ultrafilter the sample to reduce salt concentration, ensuring it is below 50 mM.
Protein Degradation: Degraded proteins can cause unclear bands.
Solution: Add protease inhibitors (e.g., PMSF) to protect protein integrity, and work quickly to minimize degradation.
2. Gel Preparation Issues
Uneven Polyacrylamide Gel: Incomplete polymerization or trapped air bubbles can distort bands.
Solution: Carefully control the ratio of TEMED and APS to ensure fast and uniform polymerization.
Mismatched Gel Concentration: If the gel pore size does not match the target protein's molecular weight, tailing may occur.
Solution: Adjust the resolving gel concentration based on the target protein (e.g., use lower concentration gels for high-molecular-weight proteins).
3. Electrophoresis Conditions
High Voltage or Overrun: Excessive voltage or prolonged running can cause overheating and trailing.
Solution: Use a constant voltage (120–150 V) during the separation phase and avoid overrun.
Buffer Issues: Old or contaminated buffer can affect electrophoresis quality.
Solution: Prepare fresh electrophoresis buffer and verify its composition.
4. Loading Issues
Excess Sample Volume: Overloading can lead to trailing strips.
Solution: Adjust the loading amount based on protein abundance and staining method (typically 10–20 µg of protein per well).
Uneven Sample Loading: Uneven loading can cause band bending or blurred.
Solution: Use a precise pipette and ensure the pipette tip reaches the bottom of the well when loading.
By checking and optimizing the above factors one by one, the problem of blurred or tailing bands can be effectively solved, and clear and sharp electrophoresis results can be obtained.
Case Study
This study utilized SDS PAGE gel analysis to separate and analyze Brucella related proteins. and examine the expression changes of Brucella proteins under different conditions, providing a foundation for subsequent mass spectrometry analysis and functional studies.

Wareth G. et al. Microorganisms. 2020.
MtoZ Biolabs, an integrated Chromatography and Mass Spectrometry (MS) Services Provider, provides advanced proteomics, metabolomics, and biopharmaceutical analysis services to researchers in biochemistry, biotechnology, and biopharmaceutical fields. Our ultimate aim is to provide more rapid, high-throughput, and cost-effective analysis, with exceptional data quality and minimal sample consumption.
MtoZ Biolabs, an integrated chromatography and mass spectrometry (MS) services provider.
Related Services
Protein Gel and Imaging Analysis Service
How to order?
